퇴행성 관절염

퇴행성 관절염
퇴행성 관절염은 관절을 보호하고 있는 연골이 점차 손상되거나 노화로 인해 퇴행성 변화가 생겨 염증과 통증이 생기는 질환으로 심할 경우 관절 주변의 뼈와 인대 등에도 손상이 생기기도 합니다. 몸의 하중이 많이 가해지는 무릎 부위에 가장 많이 발생하며, 고관절, 발목, 손목 등 그 외 관절 부위에도 퇴행성 관절염이 발생합니다. 퇴행성 관절염은 노화가 진행되면서 자연스럽게 누구에게나 발생할 수 있는 질환이기 때문에 관절 염증성 질환 중 가장 높은 빈도를 차지하고 있으며, 중년 및 노년층에게 흔히 나타나는 질환입니다.
열기원인
평상시 잘못된 생활습관으로 인해
관절 부위에 무리가 간 경우지속적인 외상으로 인해 발생하는 경우
나이나 성별, 유전적인 요소 비만 등
외부 환경적인 요소로 인해 나타나는 경우세균성 관절염이나
결핵성 관절염으로 인해 관절 부위가 손상이 된 경우
증상
- 계단을 오르내리거나 뛸 때 무릎이 시큰거리거나 통증이 있는 증상
- 바닥에 오랜 시간 앉아 있다가 일어날 때 관절을 잘 움직이기 힘든 경우
- 관절 부분이 붓고 누르면 통증이 나타나는 경우
- 다리가 O자 형태로 휘거나 팔자형태로 걸음을 걷는 경우
- 저녁 시간이나 새벽에 심해지는 통증
치료법
비수술 치료
-

- 약물치료
- 통증을 줄여줄 수 있는 진통제나, 염증을 가라앉히고 통증을 완화시키는 역할을 하는 소염진통제 등의 약물 치료를 시행합니다.
-

- 주사치료 자세히보기
- 약화된 인대나 힘줄 부위에 직접 주사하여 섬유 조직을 보강하는 인대 강화 주사(프롤로테라피) 또는 관절액의 주된 성분 주 하나인 하이알루론산 성분의 제재를 약해진 연골 부위에 주입하는 연골 주사를 통해 치료합니다.
수술 치료
-

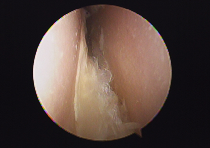
- 관절 내시경 자세히보기
- 초소형 카메라와 내시경 기구가 들어있는 작은 관을 손상이 있는 관절 부위에 삽입하여 질환을 진단하고 치료합니다. 내시경으로 병변 부위를 직접 확인하여 손상 정도에 따라 적절한 수술을 시행할 수 있습니다.
-
- 시간1시간
- 절개1cm
- 마취부분 마취
- 입원보통 2 ~ 3일
- 보행/움직임수술명에 따라 상이
- 샤워실밥 제거 2일 후
-

- 근위경골 절골술 자세히보기
- 인공 관절을 시행하기에는 무릎 외측의 관절 연골이 양호할 경우, 근위경골이라는 뼈를 쐐기 모양으로 작게 절개하여 다리를 일직선으로 교정하는 근위경골 절골술을 시행합니다.
-
- 시간1시간
- 절개5 ~ 10cm
- 마취척추 마취
- 입원1주일
- 보행1 ~ 2일 후
(보조기 착용) - 샤워실밥 제거 2일 후
재활운동 치료
-

- 물리치료 자세히보기
- 물리치료란 열, 얼음, 공기, 광선, 전기, 전자기파, 초음파, 기계적인 힘, 중력 등을 이용하여 통증을 완화시키거나 조직의 치유를 촉진시키고, 신체의 움직임을 향상시키는 치료입니다.
-

- 도수치료 자세히보기
- 치료사의 맨손을 이용하여 현재 근력 및 조직 상태를 확인하고 치료하는 것으로 전문의의 진단 후에 치료사가 통증 완화 및 신체 기능을 개선하고 근육의 균형을 잡아 주기 위해 1:1 치료를 진행합니다.
-

- 지속적 수동 운동 자세히보기
- 통증이 심해 스스로 운동이 불가능한 환자에게 수술 직후부터 수동적으로 운동을 도와주는 치료법으로 근육이 약해지고 원활한 혈액순환이 이루어지지 않아 관절이 경직, 유착, 변형되는 것을 방지하고 운동 범위를 회복시키기 위한 치료입니다.